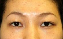
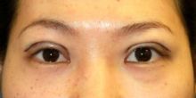
皮膚側からの眼瞼下垂手術直後の写真です 術前はまぶたが重く、眉毛をやや挙上する癖がありました。 眼瞼下垂手術で余剰皮膚を切除し、 眼窩脂肪を摘出し、 眼瞼挙筋を調節しました。 黒目が楽に上まで見えるようになりました。 視野が広がり、世界が初め少しだけ眩しいようです。 ・費用(税込、麻酔代別) 眼瞼下垂手術 ¥660,000 ・リスク・副作用(起こり得る可能性のあること) 腫れ、内出血 瞼の違和感 睫毛側皮膚の知覚低下 ラインの消失 瞼の形態の変化、顔の印象の変化 閉瞼不全、ドライアイ ヘリング現象 眼瞼下垂 にほんブログ村 美容外科 ブログランキングへ