K 目頭切開手術後2週間の経過写真 | プリモ麻布十番クリニック 美容整形ブログ 2503

K 目頭切開手術後2週間の経過写真

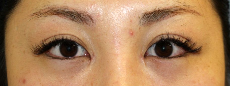
po2W目元
目頭切開手術後2週間の経過写真です。
make upなしです。

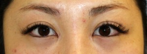
術前目元
手術前の目元です。

術前は蒙古襞の影響で目と目の距離がやや広い印象でした。
術後は目頭切開の効果で間の距離が狭くなりバランスが良くなりました。

目頭切開


にほんブログ村 美容ブログ 美容外科へ

にほんブログ村


美容外科 ブログランキングへ

 

・費用(税込、麻酔代別)

 

目頭切開術 ¥275,000

 

・リスク・副作用(起こり得る可能性のあること)

 

腫れ、内出血、瞼の違和感、傷跡

埋没した吸収糸の露出

瞼の形態の変化

 


Author 美容形成外科医 大場 理事長/院長 ブログ

More posts by 美容形成外科医 大場 理事長/院長 ブログ

© 2018 Primo All rights reserved.

メールで相談 カウンセリング予約 公式LINE オンライン診療 オンラインショップ 0120-062-069