
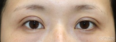
手術前の目元です。
他院で埋没法を受けていらっしゃいましたが、二重幅を広くして平行型にしたいと希望され
当院にて全切開、上眼瞼脱脂術を行いました。

全切開+上眼瞼脱脂術手術後2週間の経過写真です。
make upなしです。
まだ浮腫みがありますが、はっきりした平行型の二重が形成されています。

手術後2週間の目を閉じたところです。

手術前の目元です。
他院で埋没法を受けていらっしゃいましたが、二重幅を広くして平行型にしたいと希望され
当院にて全切開、上眼瞼脱脂術を行いました。

全切開+上眼瞼脱脂術手術後2週間の経過写真です。
make upなしです。
まだ浮腫みがありますが、はっきりした平行型の二重が形成されています。

手術後2週間の目を閉じたところです。
MEDICAL
CONTENTS
BLOG
MOVIE
GUIDE
RECRUIT





