CP 眼瞼下垂手術+目頭切開手術後2ヶ月の経過写真 | プリモ麻布十番クリニック 美容整形ブログ 2503

CP 眼瞼下垂手術+目頭切開手術後2ヶ月の経過写真

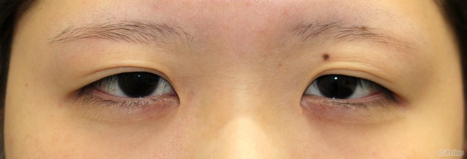
手術前の目元です。

術前は4~5年ほど前に他院で埋没法、上眼瞼脱脂を受けていらっしゃいました。

平行型の二重を希望され、目の開きを改善しぱっちりとした目にしたいということで、

当院で眼瞼下垂手術+目頭切開手術を行いました。

眼瞼下垂手術+目頭切開手術後2ヶ月の経過写真です。

make upなしです。

術後はきれいな平行型二重になりました。

眼瞼下垂手術によって目の開きも改善しています。

目頭切開によって目と目の距離が近くなり、バランス良く目が大きくなりました。

 

術後2ヶ月の目を閉じたところです。

 

・費用(税別、麻酔代別)

 

眼瞼下垂手術 ¥600,000

目頭切開術 ¥250,000

 

・リスク・副作用(起こり得る可能性のあること)

 

腫れ、内出血

瞼の違和感

睫毛側皮膚の知覚低下

埋没した吸収糸の露出

ラインの消失

瞼の形態の変化、顔の印象の変化

閉瞼不全、ドライアイ

ヘリング現象

 


Author 美容形成外科医 大場 理事長/院長 ブログ

More posts by 美容形成外科医 大場 理事長/院長 ブログ

© 2018 Primo All rights reserved.

メールで相談 カウンセリング予約 公式LINE オンライン診療 オンラインショップ 0120-062-069