S 目頭切開手術後1週間の経過写真 | プリモ麻布十番クリニック 美容整形ブログ 2503

S 目頭切開手術後1週間の経過写真

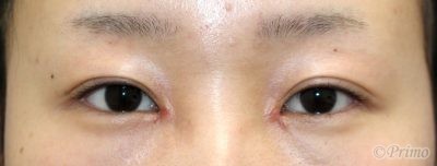
手術前の目元です。

術前は他院で埋没法を2回受けていらっしゃいました。

目と目の距離を近づける目的で、当院で目頭切開手術を行いました。

 

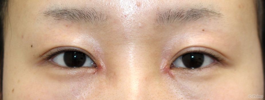
目頭切開手術後1週間の経過写真です。

make upなしです。

Z形成術による目頭切開手術によって目と目の距離が狭くなり、

目が内側方向に大きくなりました。

 

・費用(税別、麻酔代別)

 

目頭切開術 ¥250,000

 

・リスク・副作用(起こり得る可能性のあること)

 

腫れ、内出血

瞼の違和感

傷跡

埋没した吸収糸の露出

瞼の形態の変化


Author 美容形成外科医 大場 理事長/院長 ブログ

More posts by 美容形成外科医 大場 理事長/院長 ブログ

© 2018 Primo All rights reserved.

メールで相談 カウンセリング予約 公式LINE オンライン診療 オンラインショップ 0120-062-069