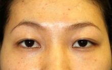
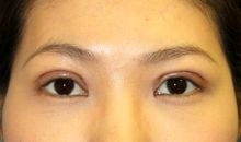
眼瞼下垂手術後1週間の経過写真です。 目を閉じたところです。 抜糸が終わった状態です。 まだむくみがありますが、 お化粧をするとカバーがある程度可能になります。 手術前の正面です。 黒目の出方がとてもよくなりました。 腫れが引くとさらに開きやすくなる見込みです。 ・費用(税込、麻酔代別) 眼瞼下垂手術 ¥660,000 ・リスク・副作用(起こり得る可能性のあること) 腫れ、内出血 瞼の違和感 睫毛側皮膚の知覚低下 ラインの消失 瞼の形態の変化、顔の印象の変化 閉瞼不全、ドライアイ ヘリング現象 眼瞼下垂 にほんブログ村 美容外科ブログランキングへ