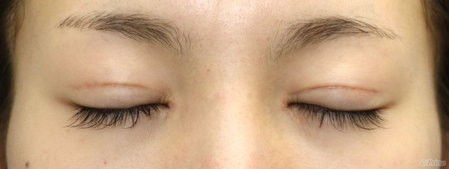
手術前の目元です。 術前は10年以上前に他院で埋没法を受けていらっしゃいました。 目の開きを改善し、目と目の幅も狭くしたいということで、 当院にて眼瞼下垂手術+目頭切開手術を行いました。 眼瞼下垂手術+目頭切開手術後2ヶ月の経過写真です。 make upなしです。 術後は眼瞼下垂手術によって目の開きが改善しています。 目頭切開によって目と目の距離が近くなり、目元のバランスが良くなりました。 術後2ヶ月の目を閉じたところです。 ・費用(税別、麻酔代別) 眼瞼下垂手術 ¥600,000 目頭切開術 ¥250,000 ・リスク・副作用(起こり得る可能性のあること) 腫れ、内出血 瞼の違和感 睫毛側皮膚の知覚低下 埋没した吸収糸の露出 ラインの消失 瞼の形態の変化、顔の印象の変化 閉瞼不全、ドライアイ ヘリング現象 眼瞼下垂 目頭切開 にほんブログ村 美容外科ブログランキングへ Tags:目頭切開眼瞼下垂手術