
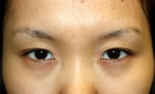
上眼瞼リフト手術後1カ月の経過写真です。
眉の下の傷は目立ちません。

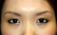
手術前の状態です。

術後1カ月のアップです。
眉毛の下はとても綺麗です。

手術前の状態です

眉毛の下で切り取った皮膚です。
まぶたの重みが綺麗に引きあがり、
二重は広くなります。
眉毛の位置はそれほど変わっていないようですが、
もともと位置が上の人は少し下がってくるようです。

上眼瞼リフト手術後1カ月の経過写真です。
眉の下の傷は目立ちません。

手術前の状態です。

術後1カ月のアップです。
眉毛の下はとても綺麗です。

手術前の状態です

眉毛の下で切り取った皮膚です。
まぶたの重みが綺麗に引きあがり、
二重は広くなります。
眉毛の位置はそれほど変わっていないようですが、
もともと位置が上の人は少し下がってくるようです。
MEDICAL
CONTENTS
BLOG
MOVIE
GUIDE
RECRUIT





