BD 眼瞼下垂手術(結膜側)後二重埋没法6点固定手術後5.5ヶ月の経過写真 | プリモ麻布十番クリニック 美容整形ブログ 2503

BD 眼瞼下垂手術(結膜側)後二重埋没法6点固定手術後5.5ヶ月の経過写真

眼瞼下垂手術前の目元です。

術前は1年半ほど前に当院で下眼瞼脱脂術、涙袋ヒアルロン酸注入を行っています。

まぶたの開きを良くしたいというご希望から当院で眼瞼下垂手術を行い、

左右差をなくし、自然な平行型の二重にしたいということで、2週間後に二重埋没法6点固定手術を行いました。

 

眼瞼下垂手術(結膜側)後二重埋没法6点固定手術後5.5ヶ月の経過写真です。

make upなしです。

術後はまぶたの開きが改善し、目が大きく見えるようになりました。

自然な平行型二重がしっかりと形成されています。

 

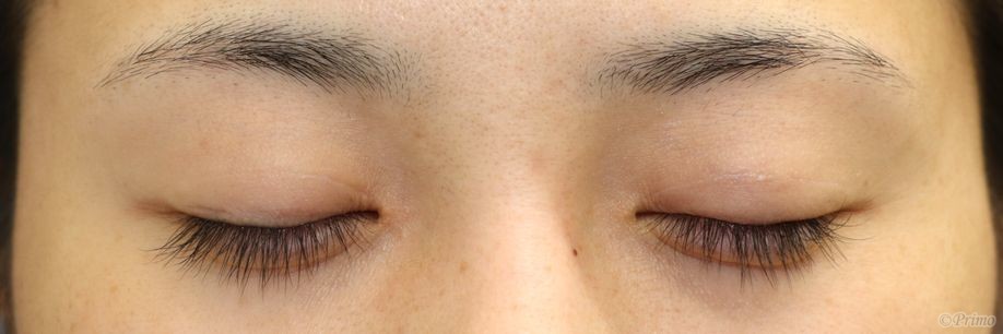
眼瞼下垂手術(結膜側)後二重埋没法6点固定手術後5.5ヶ月の目を閉じたところです。

 

・費用(税別、麻酔代別)

 

眼瞼下垂手術    ¥600,000

二重埋没法6点固定 ¥160,000

 

・リスク・副作用(起こり得る可能性のあること)

 

腫れ、内出血

瞼の違和感

埋没糸の露出

睫毛側皮膚の知覚低下

ラインの消失

瞼の形態の変化、顔の印象の変化

閉瞼不全、ドライアイ

ヘリング現象

逆さまつ毛


Author 美容形成外科医 大場 理事長/院長 ブログ

More posts by 美容形成外科医 大場 理事長/院長 ブログ

© 2018 Primo All rights reserved.

メールで相談 カウンセリング予約 公式LINE オンライン診療 オンラインショップ 0120-062-069