C 全切開+目頭切開手術後1週間の経過写真 | プリモ麻布十番クリニック 美容整形ブログ 2503

C 全切開+目頭切開手術後1週間の経過写真

 

全切開+脱脂術+目頭切開Z形成術)をおこない

 

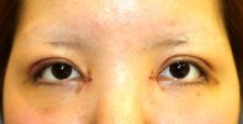
1週間で抜糸直後の状態です。

 

右に軽度の内出血があります。

 

これはお化粧で簡単にカバーできそうですね。

 

 

 

腫れがまだありますが、

 

経過は良好です。

 

 

目を閉じたところです。

 

 

 

 

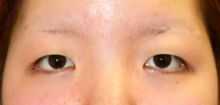
手術前の正面写真です。

 

目はだいぶ大きく見えるようになりました。

 

 

・費用(税込、麻酔代別)

 

全切開        ¥330,000

目頭切開術      ¥275,000

 

・リスク・副作用(起こり得る可能性のあること)

 

腫れ、内出血、瞼の違和感、傷跡

睫毛側皮膚の知覚低下

埋没した吸収糸の露出

ラインの消失

瞼の形態の変化

 


Author 美容形成外科医 大場 理事長/院長 ブログ

More posts by 美容形成外科医 大場 理事長/院長 ブログ

Leave a Reply

© 2018 Primo All rights reserved.

メールで相談 カウンセリング予約 公式LINE オンライン診療 オンラインショップ 0120-062-069