Z形成術による目頭切開術後2ヶ月の経過写真 | プリモ麻布十番クリニック 美容整形ブログ 2503

Z形成術による目頭切開術後2ヶ月の経過写真

 

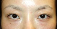
Z形成術による目頭切開術後2カ月の経過写真です。

 

 

手術前です。

 

 

手術後1カ月です。

 

傷跡はほとんどわからないくらい落ち着いてきました。

 

目と目の間も狭くなり、

 

目の横幅が広くなりました。

 

 

・費用(税込、麻酔代別)

 

目頭切開術 ¥275,000

 

・リスク・副作用(起こり得る可能性のあること)

 

腫れ、内出血

瞼の違和感

傷跡

埋没した吸収糸の露出

瞼の形態の変化

 


Author 美容形成外科医 大場 理事長/院長 ブログ

More posts by 美容形成外科医 大場 理事長/院長 ブログ

Leave a Reply

© 2018 Primo All rights reserved.

メールで相談 カウンセリング予約 公式LINE オンライン診療 オンラインショップ 0120-062-069