CC 全切開+上眼瞼脱脂術手術後3か月の経過写真 | プリモ麻布十番クリニック 美容整形ブログ 2503

CC 全切開+上眼瞼脱脂術手術後3か月の経過写真

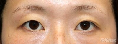
手術前の目元です。

他院で埋没法を受けていらっしゃいましたが、二重幅を広くして平行型にしたいと希望され

当院にて全切開、上眼瞼脱脂術を行いました。

 

全切開+上眼瞼脱脂術手術後3か月の経過写真です。

make upなしです。

はっきりした平行型の二重が形成されています。

 

手術後3か月の目を閉じたところです。

 

 

・費用(税別、麻酔代別)

 

全切開+上眼瞼脱脂術 ¥350,000

 

 

・リスク・副作用(起こり得る可能性のあること)

 

腫れ、内出血

瞼の違和感

二重の傷跡

睫毛側皮膚の知覚低下

ラインの消失

瞼の形態の変化

 

 


Author 美容形成外科医 大場 理事長/院長 ブログ

More posts by 美容形成外科医 大場 理事長/院長 ブログ

© 2018 Primo All rights reserved.

メールで相談 カウンセリング予約 公式LINE オンライン診療 オンラインショップ 0120-062-069