
手術前の目元です。
術前は他院で2年前に埋没法を受けていらっしゃいました。
もう少し広めの平行型二重にしたい、つり目を改善してたれ目にしたい、
目の下のくまを改善したいというご希望から、
当院で全切開+上眼瞼脱脂術+目尻切開+下眼瞼拡大術+下眼瞼脱脂術を行いました。

全切開+上眼瞼脱脂術+目尻切開+下眼瞼拡大術+下眼瞼脱脂術後2週間の経過写真です。
make upなしです。
術後は広めの平行型二重が形成されました。
目尻切開+下眼瞼拡大術の組み合わせで目尻がしっかりと下がり、たれ目傾向になりました。
下眼瞼脱脂術によって目の下のくまも改善しています。

手術前の斜めからです。

術後2週間の斜めからです。

手術前の横からです。

術後2週間の横からです。

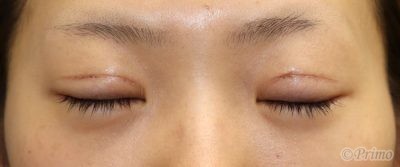
術後2週間の目を閉じたところです。




















