CY 目尻切開+下眼瞼拡大術+下眼瞼逆さまつ毛手術+下眼瞼脱脂術後1ヶ月の経過写真 | プリモ麻布十番クリニック 美容整形ブログ 2503

CY 目尻切開+下眼瞼拡大術+下眼瞼逆さまつ毛手術+下眼瞼脱脂術後1ヶ月の経過写真

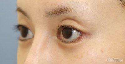
手術前の目元です。

術前は他院で二重切開、目頭切開を受けていらっしゃいました。

ややつり目なのをたれ目にしたいというご希望と、下まぶたのたるみを改善する目的で、

当院で目尻切開+下眼瞼拡大術+下眼瞼逆さまつ毛+下眼瞼脱脂術を行いました。

 

目尻切開+下眼瞼拡大術+下眼瞼逆さまつ毛手術+下眼瞼脱脂術手術後1ヶ月の経過写真です。

make upなしです。

少し充血が見られますが順調な経過です。

目尻切開+下眼瞼拡大術の効果で目が外側下方向へと大きくなりました。

目の下のたるみも改善しきれいになりました。

逆さまつ毛も改善しています。

 

手術前の斜めからです。

 

術後1ヶ月の斜めからです。

 

手術前の横からです。

 

術後1ヶ月の横からです。

 

・費用(税別、麻酔代別)

 

下眼瞼拡大術  ¥400,000

目尻切開術   ¥250,000

下眼瞼脱脂術  ¥300,000

逆さまつ毛手術 ¥200,000

 

・リスク・副作用(起こり得る可能性のあること)

 

腫れ、内出血、瞼の違和感、傷跡

埋没した吸収糸の露出

瞼の形態の変化

三白眼逆さまつ毛、複視

睫毛側皮膚の知覚異常

外反

 


Author 美容形成外科医 大場 理事長/院長 ブログ

More posts by 美容形成外科医 大場 理事長/院長 ブログ

© 2018 Primo All rights reserved.

メールで相談 カウンセリング予約 公式LINE オンライン診療 オンラインショップ 0120-062-069