U 下眼瞼拡大術+目尻切開術手術後3ヶ月の経過写真 | プリモ麻布十番クリニック 美容整形ブログ 2503

U 下眼瞼拡大術+目尻切開術手術後3ヶ月の経過写真

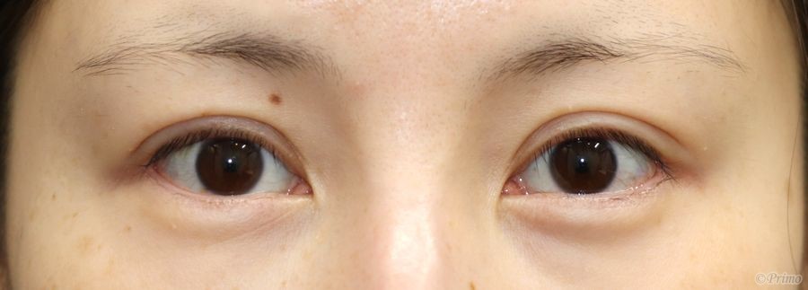
手術前の目元です。

術前は他院で二重埋没法を受けていらっしゃいました。

目の外側を下げてたれ目にしたいというご要望から、

当院で下眼瞼拡大術+目尻切開術を行いました。

 

眼瞼下垂手術+下眼瞼拡大術+目尻切開手術後3ヶ月の経過写真です。

make upなしです。

術後は下眼瞼拡大術+目尻切開術の効果で目が外側下方向に大きくなりました。

たれ目傾向になり、優しい印象の目元になりました。

 

手術前の斜めからです。

 

手術後3ヶ月の斜めからです。

 

手術前の横からです。

 

手術後3ヶ月の横からです。

 

・費用(税別、麻酔代別)

 

下眼瞼拡大術 ¥400,000

目尻切開術  ¥250,000

 

・リスク・副作用(起こり得る可能性のあること)

 

腫れ、内出血、瞼の違和感、傷跡

埋没した吸収糸の露出

瞼の形態の変化

三白眼逆さまつ毛

複視

 


Author 美容形成外科医 大場 理事長/院長 ブログ

More posts by 美容形成外科医 大場 理事長/院長 ブログ

© 2018 Primo All rights reserved.

メールで相談 カウンセリング予約 公式LINE オンライン診療 オンラインショップ 0120-062-069