DD 眼瞼下垂手術+蒙古襞形成術(目頭切開修正)手術後3ヶ月の経過写真 | プリモ麻布十番クリニック 美容整形ブログ 2503

DD 眼瞼下垂手術+蒙古襞形成術(目頭切開修正)手術後3ヶ月の経過写真

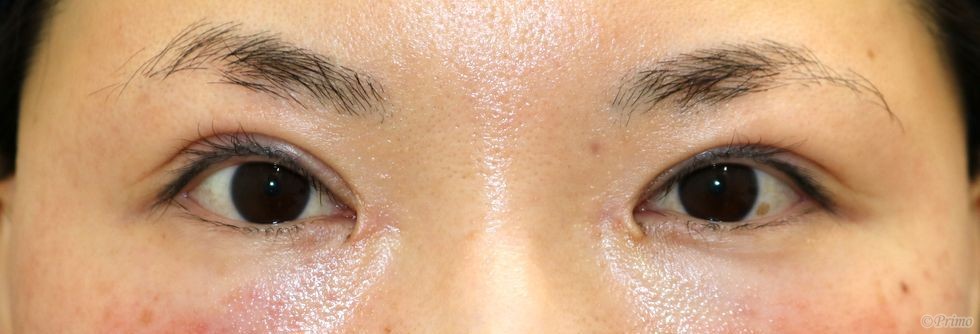
手術前の目元です。

他院で12年前に埋没法、4年前に全切開、目頭切開を受けていらっしゃいましたが、

目頭の傷が気になるのと、目の開きが弱いのを改善したいということで、

当院で眼瞼下垂手術+蒙古襞形成術(目頭切開修正)を行いました。

 

蒙古襞形成術手術後3ヶ月の経過写真です。

make upなしです。

術後は目の開きが良くなるとともに、

蒙古襞形成術によって目頭が丸くなり、優しい印象の目になりました。

 

術後3ヶ月の目を閉じたところです。

 

・費用(税別、麻酔代別)

 

眼瞼下垂手術 ¥600,000

蒙古襞形成術 ¥350,000

 

・リスク・副作用(起こり得る可能性のあること)

 

腫れ、内出血、瞼の違和感、傷跡

睫毛側皮膚の知覚低下

ラインの消失

瞼の形態の変化、顔の印象の変化

閉瞼不全、ドライアイ

ヘリング現象

ドッグイヤー

 


Author 美容形成外科医 大場 理事長/院長 ブログ

More posts by 美容形成外科医 大場 理事長/院長 ブログ

© 2018 Primo All rights reserved.

メールで相談 カウンセリング予約 公式LINE オンライン診療 オンラインショップ 0120-062-069