K 蒙古襞形成術(目頭切開修正)手術後1週間の経過写真 | プリモ麻布十番クリニック 美容整形ブログ 2503

K 蒙古襞形成術(目頭切開修正)手術後1週間の経過写真

po1W目元

蒙古襞形成術(目頭切開修正)手術後1週間の経過写真です。

make upなしです。

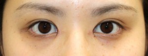
術前目元

手術前の目元です。

術前は他院で行った目頭切開の傷跡を目立たなくしたいという希望から、

当院で蒙古襞形成術(目頭切開修正)を行いました。

術後は襞が形成され傷跡が隠れやすくなりました。

 

・費用(税込、麻酔代別)

 

蒙古襞形成術 ¥385,000

 

・リスク・副作用(起こり得る可能性のあること)

 

腫れ、内出血

瞼の違和感

目頭の傷跡

瞼の形態の変化、二重の形の変化

ドッグイヤー

 


Author 美容形成外科医 大場 理事長/院長 ブログ

More posts by 美容形成外科医 大場 理事長/院長 ブログ

© 2018 Primo All rights reserved.

メールで相談 カウンセリング予約 公式LINE オンライン診療 オンラインショップ 0120-062-069