K 蒙古襞形成術(目頭切開修正)手術後1ヵ月の経過写真 | プリモ麻布十番クリニック 美容整形ブログ 2503

K 蒙古襞形成術(目頭切開修正)手術後1ヵ月の経過写真

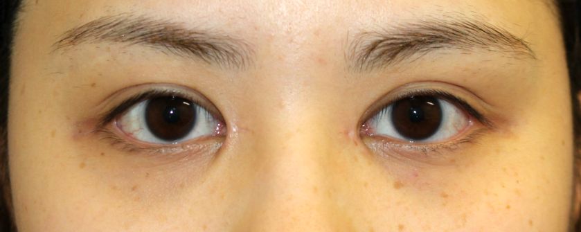
po1M目元

蒙古襞形成術(目頭切開修正)手術後1ヵ月の経過写真です。

make upなしです。

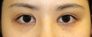
術前目元

手術前の目元です。

術前は他院で行った目頭切開の傷跡が気になるということで、

当院で蒙古襞形成術(目頭切開修正)を行いました。

術後は蒙古襞が形成され傷跡が目立ちにくく隠れました。

 

・費用(税込、麻酔代別)

 

蒙古襞形成術 ¥385,000

 

・リスク・副作用(起こり得る可能性のあること)

 

腫れ、内出血

瞼の違和感

目頭の傷跡

瞼の形態の変化、二重の形の変化

ドッグイヤー

 


Author 美容形成外科医 大場 理事長/院長 ブログ

More posts by 美容形成外科医 大場 理事長/院長 ブログ

© 2018 Primo All rights reserved.

メールで相談 カウンセリング予約 公式LINE オンライン診療 オンラインショップ 0120-062-069