DC 他院下眼瞼拡大修正術(たれ目形成修正)+目尻切開+下眼瞼逆さまつ毛手術術後1週間の経過写真 | プリモ麻布十番クリニック 美容整形ブログ 2503

DC 他院下眼瞼拡大修正術(たれ目形成修正)+目尻切開+下眼瞼逆さまつ毛手術術後1週間の経過写真

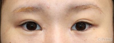
手術前の目元です。

他院でたれ目形成を受けていらっしゃいましたがほとんど変化がなかったとのことでした

しっかり下まぶたを下げて目を大きくたれ目にしたいとのご希望に対して

他院下眼瞼拡大修正術(たれ目形成修正)、目尻切開、逆さまつ毛手術を施行しました。

 

他院下眼瞼拡大修正術(たれ目形成修正術)、目尻切開、逆さまつ毛手術

術後1週間の経過写真です。

make upなしです。

結膜の浮腫みがでていますが、あと1週間ほどでは落ち着く見込みです。

下眼瞼拡大術、目尻切開術の効果で目が下方向、外側方向へと大きくなりました。

逆さまつ毛も改善しました。

手術前の斜めからです。

 

手術後1週間の斜めからです。

手術前の横からです。

逆さまつ毛を認めます。

手術後1週間の横からです。

逆さまつ毛も矯正されています。

 

・費用(税別、麻酔代別)

 

下眼瞼拡大術  ¥400,000

逆さまつ毛手術 ¥200,000

 

・リスク・副作用(起こり得る可能性のあること)

 

腫れ、内出血、瞼の違和感、傷跡

埋没した吸収糸の露出

瞼の形態の変化

三白眼逆さまつ毛

外反

複視

 


Author 美容形成外科医 大場 理事長/院長 ブログ

More posts by 美容形成外科医 大場 理事長/院長 ブログ

© 2018 Primo All rights reserved.

メールで相談 カウンセリング予約 公式LINE オンライン診療 オンラインショップ 0120-062-069