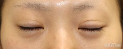
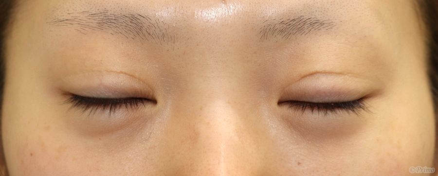
手術前の目元です。 術前は他院で2年前に埋没法を受けていらっしゃいました。 もう少し広めの平行型二重にしたい、つり目を改善してたれ目にしたい、 目の下のくまを改善したいというご希望から、 当院で全切開+上眼瞼脱脂術+目尻切開+下眼瞼拡大術+下眼瞼脱脂術を行いました。 全切開+上眼瞼脱脂術+目尻切開+下眼瞼拡大術+下眼瞼脱脂術後6ヶ月の経過写真です。 make upなしです。 術後ははっきりとした広めの平行型二重が形成されました。 目尻切開+下眼瞼拡大術の組み合わせで目尻がしっかりと下がり、たれ目傾向になりました。 下眼瞼脱脂術によって目の下のくまも目立たなくなりました。 手術前の斜めからです。 術後6ヶ月の斜めからです。 手術前の横からです。 術後6ヶ月の横からです。 術後6ヶ月の目を閉じたところです。 ・費用(税別、麻酔代別) 全切開+上眼瞼脱脂術 ¥350,000 下眼瞼拡大術 ¥400,000 目尻切開術 ¥250,000 下眼瞼脱脂術(セット割引) ¥150,000 ・リスク・副作用(起こり得る可能性のあること) 腫れ、内出血、瞼の違和感、傷跡 睫毛側皮膚の知覚低下 埋没した吸収糸の露出 ラインの消失 瞼の形態の変化 三白眼、逆さまつ毛、複視 全切開 目尻切開 下眼瞼拡大術(たれ目形成) 下眼瞼脱脂(結膜側) にほんブログ村 美容外科ブログランキングへ Tags:上眼瞼脱脂術下眼瞼拡大術下眼瞼脱脂術全切開目尻切開