B 下眼瞼脱脂術+二重埋没法の経過写真 直後から1ヶ月まで | プリモ麻布十番クリニック 美容整形ブログ 2503

B 下眼瞼脱脂術+二重埋没法の経過写真 直後から1ヶ月まで

 

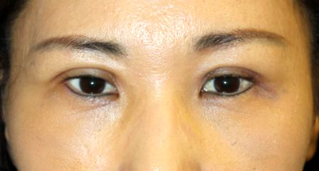
下眼瞼の脂肪の突出(いわゆる目袋)が気になって摘出術を行いました。

 

また上眼瞼はタルミがあり6点固定の埋没法で二重を形成しました。

 

 

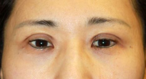
手術後1カ月の正面写真です。

 

かなり下眼瞼の膨らみがすっきりしました。

 

二重はまだむくみがありますのでもう少し幅が狭く自然になります。

 

目の開きももっと良くなってきます。

 

 

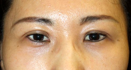
手術直後の状態はこんな感じでした。

 

下眼瞼の膨らみは直後からスッキリとしました。

 

二重はたるみが多かったためそれを少しでも解消したいという希望から

 

かなり幅の広いラインを希望されました。

 

そのため少し開きが悪くなり、直後は幅が広すぎる印象です。

 

 

摘出した下眼瞼の眼窩脂肪です。

 

左右のバランスを合わせるように摘出しました。

 

 

手術後1週間はこんな感じでした。

 

まだまだ腫れむくみがある状態です。

 

今後の経過もアップします。

 

・費用(税込、麻酔代別)

 

二重埋没法6点固定     ¥176,000

下眼瞼脱脂術(セット割引) ¥330,000

 

・リスク・副作用(起こり得る可能性のあること)

 

腫れ、内出血

瞼の違和感

埋没糸の露出

ラインの消失

逆さまつ毛

 

結膜の傷跡

瞼の形態の変化

複視

 


Author 美容形成外科医 大場 理事長/院長 ブログ

More posts by 美容形成外科医 大場 理事長/院長 ブログ

Leave a Reply

© 2018 Primo All rights reserved.

メールで相談 カウンセリング予約 公式LINE オンライン診療 オンラインショップ 0120-062-069