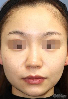
手術前の正面です。 脂肪はそれほど多いわけではありませんが、 頬や下顎のたるみを取りフェイスラインを改善させたいということで、 当院で頬アゴ脂肪吸引手術を行いました。 頬アゴ脂肪吸引手術後2週間の経過写真の経過写真です。 術後の腫れが少し引いてきました。 これからさらに引いてすっきりします。 手術前の斜めからです。 手術後2週間の斜めからです。 手術前の横からです。 手術後2週間の横からです。 頬や下顎のたるみが改善しています。 ・費用(税別、麻酔代別) 頬顎脂肪吸引 ¥400,000 ・リスク・副作用(起こり得る可能性のあること) 腫れ、内出血 創の赤み、盛り上がり、かゆみ 皮膚の張りの低下 吸引部位のしびれ、知覚低下 凹凸、左右差 脂肪吸引 にほんブログ村 美容外科ブログランキングへ Tags:脂肪吸引頬顎脂肪吸引