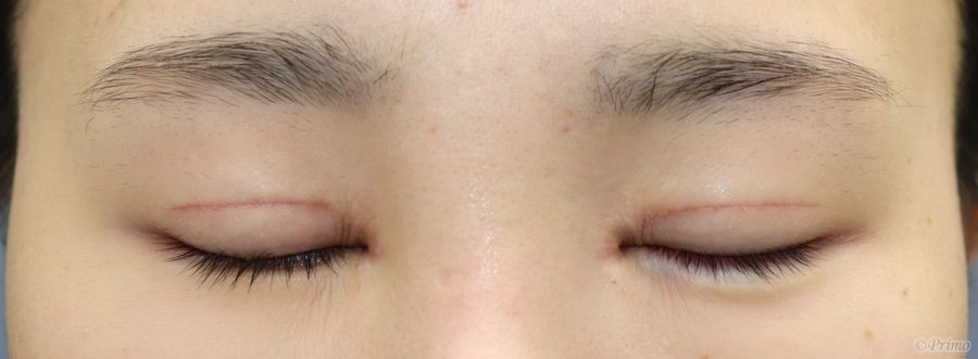
手術前の目元です。 術前は他院で埋没法、目頭切開手術を受けていらっしゃいました。 目頭の丸い感じが嫌で、シャープにしたいということで、 当院で全切開+上眼瞼脱脂術、目頭切開手術を行いました。 全切開+上眼瞼脱脂術、目頭切開手術後1ヶ月の経過写真です。 make upなしです。 術後は目頭切開によって目と目の距離が近くなり、 目頭がシャープになって大人っぽい印象の目元になりました。 手術後1ヶ月の目を閉じたところです。 ・費用(税別、麻酔代別) 全切開+上眼瞼脱脂術 ¥350,000 目頭切開術 ¥250,000 ・リスク・副作用(起こり得る可能性のあること) 腫れ、内出血 瞼の違和感 傷跡 睫毛側皮膚の知覚低下 埋没した吸収糸の露出 ラインの消失 瞼の形態の変化 全切開 目頭切開 にほんブログ村 美容外科ブログランキングへ Tags:上眼瞼脱脂術二重全切開目頭切開