
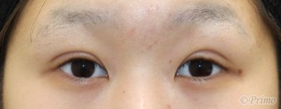
手術前の目元です。
目をぱっちりさせたい、まぶたをすっきりさせたいとのご希望に対して
眼瞼下垂手術、ROOF切除を行いました。

眼瞼下垂手術、ROOF切除 手術後6か月の経過写真です。
make upなしです。
瞼の開きが良くなりぱっちりしました。

手術後6か月の目を閉じたところです。

手術前の目元です。
目をぱっちりさせたい、まぶたをすっきりさせたいとのご希望に対して
眼瞼下垂手術、ROOF切除を行いました。

眼瞼下垂手術、ROOF切除 手術後6か月の経過写真です。
make upなしです。
瞼の開きが良くなりぱっちりしました。

手術後6か月の目を閉じたところです。
MEDICAL
CONTENTS
BLOG
MOVIE
GUIDE
RECRUIT





