
術前です
目をパッチリさせたい、また目の下の膨らみも気になっているとのことで
眼瞼下垂手術+下眼瞼脱脂(結膜側)を行いました

術後2か月 開瞼時です
むくみもかなりすっきりして、パッチリとしたキレイなお目元ですね
下まぶたの膨らみもなくなり、とてもすっきりしました

術後2か月 閉瞼時です
傷はとてもきれいですね

術前です
目をパッチリさせたい、また目の下の膨らみも気になっているとのことで
眼瞼下垂手術+下眼瞼脱脂(結膜側)を行いました

術後2か月 開瞼時です
むくみもかなりすっきりして、パッチリとしたキレイなお目元ですね
下まぶたの膨らみもなくなり、とてもすっきりしました

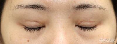
術後2か月 閉瞼時です
傷はとてもきれいですね
MEDICAL
CONTENTS
BLOG
MOVIE
GUIDE
RECRUIT





