
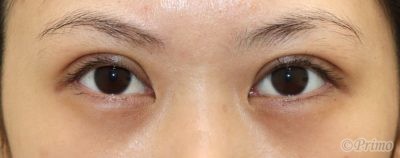
術前です
お目元をパッチリさせたい、また目の下のクマも気になっているとのことで
眼瞼下垂手術+下眼瞼脱脂(結膜側)を行いました

術後3か月 開瞼時です
むくみもとれてきて、とてもパッチリしました
クマも目立たなくなりましたね

術後3か月 閉瞼時です

術前です
お目元をパッチリさせたい、また目の下のクマも気になっているとのことで
眼瞼下垂手術+下眼瞼脱脂(結膜側)を行いました

術後3か月 開瞼時です
むくみもとれてきて、とてもパッチリしました
クマも目立たなくなりましたね

術後3か月 閉瞼時です
MEDICAL
CONTENTS
BLOG
MOVIE
GUIDE
RECRUIT





