
術前の正面からです
目を全方向に大きくさせたいとのことで
眼瞼下垂手術+ROOF切除+目頭切開+下眼瞼拡大術(たれ目形成)+目尻切開+逆さ睫毛手術+下眼瞼脱脂(結膜側)を行いました
目のフルコースですね

術後1週間 正面からノーメイクです
まだむくみがありますが、目が全方向にとても大きくなりました
目の周りに黄色っぽく見えているのは内出血です
2週間程度で必ず消えていきます

術前のななめからです

術後1週間 ななめからです

術前の横からです

術後1週間 横からです

術前の正面からです
目を全方向に大きくさせたいとのことで
眼瞼下垂手術+ROOF切除+目頭切開+下眼瞼拡大術(たれ目形成)+目尻切開+逆さ睫毛手術+下眼瞼脱脂(結膜側)を行いました
目のフルコースですね

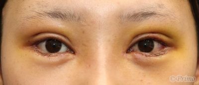
術後1週間 正面からノーメイクです
まだむくみがありますが、目が全方向にとても大きくなりました
目の周りに黄色っぽく見えているのは内出血です
2週間程度で必ず消えていきます

術前のななめからです

術後1週間 ななめからです

術前の横からです

術後1週間 横からです
MEDICAL
CONTENTS
BLOG
MOVIE
GUIDE
RECRUIT





