
手術前の目元です。
ふだんアイテープで二重を作っていらっしゃいましたが
平行型の二重を希望され、全切開、上眼瞼脱脂を行いました。

全切開+上眼瞼脱脂 手術後3か月の経過写真です。
make upなしです。
はっきりした平行型二重になりました。

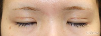
手術後3か月の目を閉じたところです。
傷あとの反応がでていますが今後徐々に目立たなくなっていきます。

手術前の目元です。
ふだんアイテープで二重を作っていらっしゃいましたが
平行型の二重を希望され、全切開、上眼瞼脱脂を行いました。

全切開+上眼瞼脱脂 手術後3か月の経過写真です。
make upなしです。
はっきりした平行型二重になりました。

手術後3か月の目を閉じたところです。
傷あとの反応がでていますが今後徐々に目立たなくなっていきます。
MEDICAL
CONTENTS
BLOG
MOVIE
GUIDE
RECRUIT





