S 他院眼瞼下垂手術修正術+二重修正術(重瞼修正切開修正)手術後1週間の経過写真 | プリモ麻布十番クリニック 美容整形ブログ 2503

S 他院眼瞼下垂手術修正術+二重修正術(重瞼修正切開修正)手術後1週間の経過写真

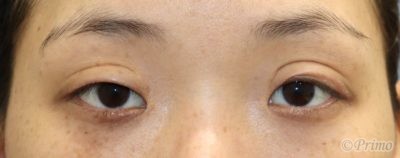
手術前の目元です。

他院で埋没、二重全切開、眼瞼下垂と何度か手術を受けていらっしゃいましたが

自然な二重にしたい、二重の左右差、目の開きの左右差を少なくしたいとのご希望に対して

他院眼瞼下垂手術修正術、二重修正術を行いました。

 

 

他院眼瞼下垂手術修正術、二重修正術 手術後1週間の経過写真です。

make upなしです。

まだ腫れがありますが、狭く自然な二重になり

二重幅、目の開きの左右差が少なくなりました。

 

 

手術前の目を閉じたところです。

手術後1週間の目を閉じたところです。

 

・費用(税別、麻酔代別)

 

他院眼瞼下垂手術修正術 (二重修正術含む)                                      ¥800,000

 

 

・リスク・副作用(起こり得る可能性のあること)

 

腫れ、内出血

瞼の違和感

傷跡

睫毛側皮膚の知覚低下

ラインの消失

瞼の形態の変化、顔の印象の変化

閉瞼不全、ドライアイ

左右差

ヘリング現象

 


Author 美容形成外科医 大場 理事長/院長 ブログ

More posts by 美容形成外科医 大場 理事長/院長 ブログ

© 2018 Primo All rights reserved.

メールで相談 カウンセリング予約 公式LINE オンライン診療 オンラインショップ 0120-062-069