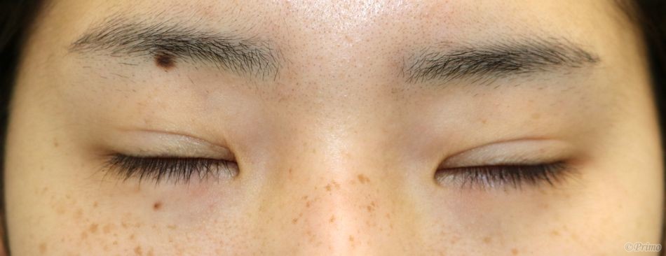
手術前の目元です。 自然な末広型の二重にしたいとのご希望に対して 二重埋没6点固定を行いました。 手術後2か月の経過写真です。 make upなしです。 ご希望の二重が形成されています。 手術後2か月の目を閉じたところです。 ・費用(税別、麻酔代別) 二重埋没法6点固定 ¥160,000 ・リスク・副作用(起こり得る可能性のあること) 腫れ、内出血 瞼の違和感 埋没糸の露出 ラインの消失 逆さまつ毛 埋没法 にほんブログ村 美容外科 ブログランキングへ Tags:二重埋没法