下眼瞼脱脂術後1カ月の経過写真です。
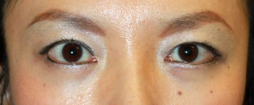
手術前の正面写真です。
普段はそれほど目袋が目立ちませんが、
目に力を入れると飛び出してくるタイプでした。
手術後1週間はこれくらいの腫れでした。
術後は綺麗に脂肪が出なくなり、
クマの改善がみられました。
手術後1カ月と比較して、1週間と大差がありません。
微妙な腫れが引いて少しスッキリとしました。
下眼瞼脱脂術後1カ月の経過写真です。
手術前の正面写真です。
普段はそれほど目袋が目立ちませんが、
目に力を入れると飛び出してくるタイプでした。
手術後1週間はこれくらいの腫れでした。
術後は綺麗に脂肪が出なくなり、
クマの改善がみられました。
手術後1カ月と比較して、1週間と大差がありません。
微妙な腫れが引いて少しスッキリとしました。
MEDICAL
CONTENTS
BLOG
MOVIE
GUIDE
RECRUIT





