
手術前の目元です。
他院で二重形成を受けていらっしゃいましたが
目をさらにぱっちりさせたい,
左右差を少なくしたいとのご希望に対して、眼瞼下垂手術を行いました。

眼瞼下垂手術 手術後6か月の経過写真です。
make upなしです。
まぶたの開きが良くなり目がぱっちりしました。
二重の左右差も少なくなりました。

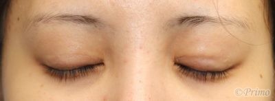
手術後6か月の目を閉じたところです。

手術前の目元です。
他院で二重形成を受けていらっしゃいましたが
目をさらにぱっちりさせたい,
左右差を少なくしたいとのご希望に対して、眼瞼下垂手術を行いました。

眼瞼下垂手術 手術後6か月の経過写真です。
make upなしです。
まぶたの開きが良くなり目がぱっちりしました。
二重の左右差も少なくなりました。

手術後6か月の目を閉じたところです。
MEDICAL
CONTENTS
BLOG
MOVIE
GUIDE
RECRUIT





