
術前です。
以前他院で埋没法と目頭切開術を行うも、
埋没の糸が取れてしまった方です。
平行で幅広の二重を希望され、腫れぼったさも改善したいとのことで、
当院で全切開+上眼瞼脱脂術+ROOF切除を行いました。

術後1か月の開瞼時の経過写真です。
make upなしです。
幅広の平行型二重がしっかりと形成されました。

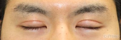
術後1か月の閉瞼時です。
経過のご参考になさってください。

術前です。
以前他院で埋没法と目頭切開術を行うも、
埋没の糸が取れてしまった方です。
平行で幅広の二重を希望され、腫れぼったさも改善したいとのことで、
当院で全切開+上眼瞼脱脂術+ROOF切除を行いました。

術後1か月の開瞼時の経過写真です。
make upなしです。
幅広の平行型二重がしっかりと形成されました。

術後1か月の閉瞼時です。
経過のご参考になさってください。
MEDICAL
CONTENTS
BLOG
MOVIE
GUIDE
RECRUIT





