
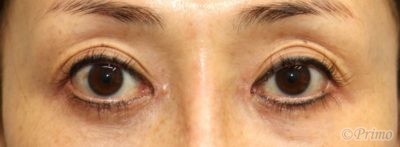
術前です。
以前他院で目頭切開、二重埋没法、目尻切開、下眼瞼脱脂術を行った方です。
目頭を切りすぎてしまい、少しだけ戻したいとのご要望で、
当院にて蒙古襞形成術(目頭切開修正)を行いました。

術後2週間の経過写真です。
make upなしです。
目頭の尖った印象が少しやわらぎ自然な形態になりました。

術前です。
以前他院で目頭切開、二重埋没法、目尻切開、下眼瞼脱脂術を行った方です。
目頭を切りすぎてしまい、少しだけ戻したいとのご要望で、
当院にて蒙古襞形成術(目頭切開修正)を行いました。

術後2週間の経過写真です。
make upなしです。
目頭の尖った印象が少しやわらぎ自然な形態になりました。
MEDICAL
CONTENTS
BLOG
MOVIE
GUIDE
RECRUIT





