BP 眼瞼下垂手術術後1週間の経過写真 | プリモ麻布十番クリニック 美容整形ブログ 2503

BP 眼瞼下垂手術術後1週間の経過写真

 

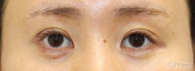
手術前の目元です。

目をぱっちりさせたいとのご希望に対して

眼瞼下垂手術を行いました。

 

眼瞼下垂手術 手術後1週間の経過写真です。

make upなしです。

まだ腫れがありますが、まぶたの開きが良くなり目がぱっちりしました。

 

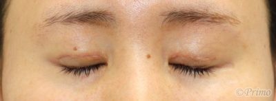
手術後1週間の目を閉じたところです。

・リスク・副作用(起こり得る可能性のあること)

 

腫れ、内出血

瞼の違和感

傷跡

睫毛側皮膚の知覚低下

ラインの消失

瞼の形態の変化、顔の印象の変化

閉瞼不全、ドライアイ

ヘリング現象

 

 

・費用(税別、麻酔代別)

 

眼瞼下垂手術 ¥600,000

 

 


Author 美容形成外科医 大場 理事長/院長 ブログ

More posts by 美容形成外科医 大場 理事長/院長 ブログ

© 2018 Primo All rights reserved.

メールで相談 カウンセリング予約 公式LINE オンライン診療 オンラインショップ 0120-062-069