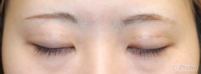
術前です。 平行で幅広の二重をご希望され、 当院で二重埋没法6点固定を行いました。 手術後2週間の開瞼時です。 幅広の平行型二重がしっかりと形成されました。 手術後2週間の閉瞼時です。 経過のご参考になさってください。 ・費用(税別、麻酔代別) 二重埋没法6点固定 ¥160,000 ・リスク・副作用(起こり得る可能性のあること) 腫れ、内出血 瞼の違和感 埋没糸の露出 ラインの消失 埋没法 にほんブログ村 美容外科 ブログランキングへ Tags:6点固定埋没法