X 目頭切開手術後2ヶ月の経過写真 | プリモ麻布十番クリニック 美容整形ブログ 2503

X 目頭切開手術後2ヶ月の経過写真

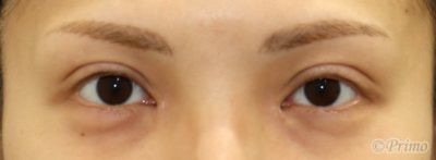
手術前の目元です。

術前は1年半ほど前に当院で眼瞼下垂術を受けていらっしゃいました。

目の間隔を近づけ目を大きくしたいというご要望から、

今回目頭切開手術を行いました。

 

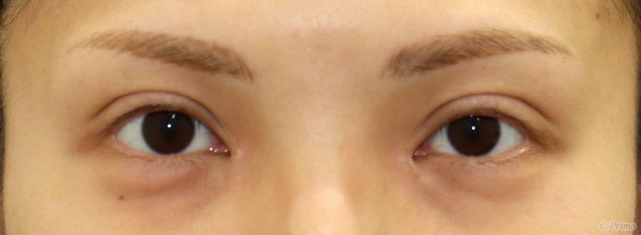
目頭切開手術後2ヶ月の経過写真です。

make upなしです。

術後はZ形成術による目頭切開の効果で間の距離が狭くなりバランスが良くなりました。

 

・費用(税別、麻酔代別)

 

目頭切開術 ¥250,000

 

・リスク・副作用(起こり得る可能性のあること)

 

腫れ、内出血

瞼の違和感

傷跡

埋没した吸収糸の露出

瞼の形態の変化

 


Author 美容形成外科医 大場 理事長/院長 ブログ

More posts by 美容形成外科医 大場 理事長/院長 ブログ

© 2018 Primo All rights reserved.

メールで相談 カウンセリング予約 公式LINE オンライン診療 オンラインショップ 0120-062-069