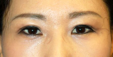
下眼瞼脱脂術と二重埋没法6点固定手術後3カ月の経過写真です。
上まぶたのむくみもほとんど取れてスッキリとしました。
下まぶたの膨らみもなくなりクマが気にならなくなりました。
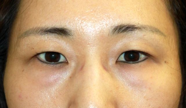
手術前の正面写真です。
手術後3カ月の斜めからです。
手術前ののななめからです。
手術後は随分印象が若返りました。
手術後3カ月の横からです。
下まぶたの目袋のふくらみがなくなりました。
手術前の横からです。
経過良好です。
下眼瞼脱脂術と二重埋没法6点固定手術後3カ月の経過写真です。
上まぶたのむくみもほとんど取れてスッキリとしました。
下まぶたの膨らみもなくなりクマが気にならなくなりました。
手術前の正面写真です。
手術後3カ月の斜めからです。
手術前ののななめからです。
手術後は随分印象が若返りました。
手術後3カ月の横からです。
下まぶたの目袋のふくらみがなくなりました。
手術前の横からです。
経過良好です。
MEDICAL
CONTENTS
BLOG
MOVIE
GUIDE
RECRUIT





