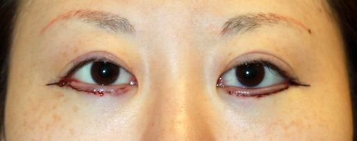
目尻切開と逆さまつ毛手術を行った直後の正面写真です。
術前の正面写真と比較すると目が外側に拡大したことがわかります。
手術直後の斜めから見たところです。
こちらの角度の方が大きくなった感じがわかりやすいかもしれません。
手術前の斜めからです。
手術直後の横からです。
手術前の横から見たところです。
目が切れ長になりました。
経過もアップしたいと思います。
目尻切開と逆さまつ毛手術を行った直後の正面写真です。
術前の正面写真と比較すると目が外側に拡大したことがわかります。
手術直後の斜めから見たところです。
こちらの角度の方が大きくなった感じがわかりやすいかもしれません。
手術前の斜めからです。
手術直後の横からです。
手術前の横から見たところです。
目が切れ長になりました。
経過もアップしたいと思います。
MEDICAL
CONTENTS
BLOG
MOVIE
GUIDE
RECRUIT





