A 下眼瞼脱脂術手術後2ヶ月の経過写真 | プリモ麻布十番クリニック 美容整形ブログ 2503

 

下眼瞼脱脂術の手術後2カ月の経過写真です。

 

 

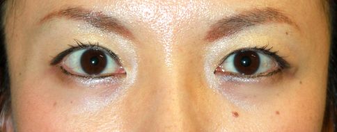
手術前の正面写真です。

 

手術後は下まぶたの膨らみがなくなりスッキリとしました。

 

 

手術後1カ月はこの状態でした。

 

2カ月とあまり大きな差はありません。

 

 

手術後1週間です。

 

若干の腫れがありますが、経結膜的に摘出するので

 

大きな腫れはありません。

 

傷も裏側のみでわかりません。

 

経過良好です。

 

 

・費用(麻酔代別、税込)

 

下眼瞼脱脂術 ¥330,000

 

・リスク・副作用(起こり得る可能性のあること)

 

腫れ、内出血

瞼の違和感

結膜の傷跡

瞼の形態の変化

複視

 


Author 美容形成外科医 大場 理事長/院長 ブログ

More posts by 美容形成外科医 大場 理事長/院長 ブログ

Leave a Reply

© 2018 Primo All rights reserved.

メールで相談 カウンセリング予約 公式LINE オンライン診療 オンラインショップ 0120-062-069