V 二重修正術(重瞼修正切開術) 手術後1週の経過写真 | プリモ麻布十番クリニック 美容整形ブログ 2503

V 二重修正術(重瞼修正切開術) 手術後1週の経過写真

 

手術前の目元です。

切開法による二重形成、たれ目形成術を受けていらっしゃいましたが

二重が広いので狭くしたいとのご希望でした。

外側は少しだけで、内側から中央の二重を主に狭くしたいとのことでした。

当院にて二重修正を行いました。

 

 

二重修正術術後1週の経過写真です。

make upなしです。

まだ浮腫みがありますがより自然なラインの二重が形成されています。

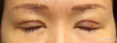
術前の目を閉じたところです

手術後1週の目を閉じたところです。

 

 

・リスク・副作用(起こり得る可能性のあること)

 

腫れ、内出血

瞼の違和感

二重の傷跡

睫毛側皮膚の知覚低下

ラインの消失

瞼の形態の変化

 

・費用(税別、麻酔代別)

 

全切開+上眼瞼脱脂術 ¥350,000


Author 美容形成外科医 大場 理事長/院長 ブログ

More posts by 美容形成外科医 大場 理事長/院長 ブログ

© 2018 Primo All rights reserved.

メールで相談 カウンセリング予約 公式LINE オンライン診療 オンラインショップ 0120-062-069