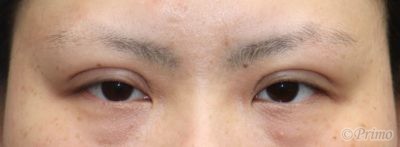
術前です 平行で幅広の二重を希望され 当院で全切開+上眼瞼脱脂術を行いました 術後3か月の開瞼時です。 幅広の平行型二重がしっかりと形成されました。 術後3か月 閉瞼時です ・費用(税別、麻酔代別) 全切開+上眼瞼脱脂術 ¥350,000 ・リスク・副作用(起こり得る可能性のあること) 腫れ、内出血 瞼の違和感 傷跡 睫毛側皮膚の知覚低下 埋没した吸収糸の露出 ラインの消失 瞼の形態の変化 全切開 にほんブログ村 美容外科 ブログランキングへ Tags:上眼瞼脱脂術全切開