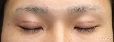
手術前のお目元です。 はっきりとした二重をご希望され、 当院で二重埋没法6点固定を行いました。 手術翌日の開瞼時の経過写真です。 make upなしです。 幅広の平行型二重がしっかりと形成されました。 手術翌日の閉瞼時です。 経過のご参考になさってください。 ・費用(税別、麻酔代別) 二重埋没法6点固定 ¥160,000 ・リスク・副作用(起こり得る可能性のあること) 腫れ、内出血 瞼の違和感 埋没糸の露出 ラインの消失 埋没法 にほんブログ村 美容外科 ブログランキングへ Tags:6点固定埋没法