
手術前の目元です。
切開法による二重形成、たれ目形成術を受けていらっしゃいましたが
二重が広いので狭くしたいとのご希望でした。
外側は少しだけで、内側から中央の二重を主に狭くしたいとのことでした。
当院にて二重修正を行いました。

二重修正術術後1か月の経過写真です。
make upなしです。
まだ浮腫みがありますがより自然なラインの二重が形成されています。

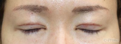
術前の目を閉じたところです

手術後1か月の目を閉じたところです。

手術前の目元です。
切開法による二重形成、たれ目形成術を受けていらっしゃいましたが
二重が広いので狭くしたいとのご希望でした。
外側は少しだけで、内側から中央の二重を主に狭くしたいとのことでした。
当院にて二重修正を行いました。

二重修正術術後1か月の経過写真です。
make upなしです。
まだ浮腫みがありますがより自然なラインの二重が形成されています。

術前の目を閉じたところです

手術後1か月の目を閉じたところです。
MEDICAL
CONTENTS
BLOG
MOVIE
GUIDE
RECRUIT





