CB 二重埋没法6点固定 手術後3日の経過写真 | プリモ麻布十番クリニック 美容整形ブログ 2503

CB 二重埋没法6点固定 手術後3日の経過写真

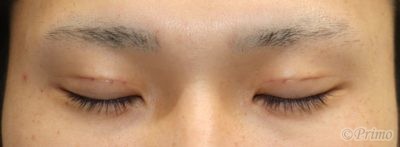
手術前のお目元です。

はっきりとした二重をご希望され、

当院で二重埋没法6点固定を行いました。

手術後3日の開瞼時の経過写真です。

make upなしです。

平行型二重がしっかりと形成されました。

 

 

手術後3日の閉瞼時です。

経過のご参考になさってください。

 

 

・費用(税別、麻酔代別)

 

二重埋没法6点固定 ¥160,000

 

・リスク・副作用(起こり得る可能性のあること)

 

腫れ、内出血

瞼の違和感

埋没糸の露出

ラインの消失

 


Author 美容形成外科医 大場 理事長/院長 ブログ

More posts by 美容形成外科医 大場 理事長/院長 ブログ

© 2018 Primo All rights reserved.

メールで相談 カウンセリング予約 公式LINE オンライン診療 オンラインショップ 0120-062-069