
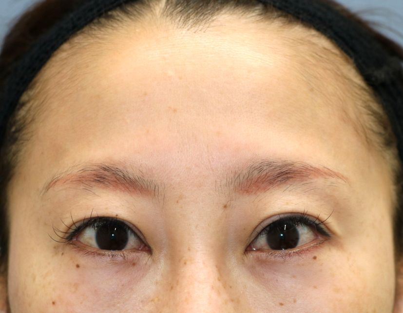
上眼瞼リフト(眉毛下切開)手術後1週間の経過写真です。
make upなしです。
まぶたの内側までタルミを改善させたいという希望から、
眉毛全長上眼瞼リフトを行いました。
術後1週間で傷の盛り上がりがまだ強い時期です。
まぶたのタルミで被った感じが改善いたしました。

上眼瞼リフト(眉毛下切開)手術後1週間の経過写真です。
make upなしです。
まぶたの内側までタルミを改善させたいという希望から、
眉毛全長上眼瞼リフトを行いました。
術後1週間で傷の盛り上がりがまだ強い時期です。
まぶたのタルミで被った感じが改善いたしました。
MEDICAL
CONTENTS
BLOG
MOVIE
GUIDE
RECRUIT





