
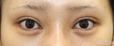
術前の正面からです
目を全方向に大きくさせたいとのことで
眼瞼下垂手術+ROOF切除+目頭切開+下眼瞼拡大術(たれ目形成)+目尻切開+逆さ睫毛手術+下眼瞼脱脂(結膜側)を行いました
目のフルコースですね

術後2か月の正面からノーメイクです
上方、内側、外側下方へと、目が全方向にとても大きくなりました

術前のななめからです

術後2か月のななめからです

術前の横からです

術後2か月の横からです

術前の正面からです
目を全方向に大きくさせたいとのことで
眼瞼下垂手術+ROOF切除+目頭切開+下眼瞼拡大術(たれ目形成)+目尻切開+逆さ睫毛手術+下眼瞼脱脂(結膜側)を行いました
目のフルコースですね

術後2か月の正面からノーメイクです
上方、内側、外側下方へと、目が全方向にとても大きくなりました

術前のななめからです

術後2か月のななめからです

術前の横からです

術後2か月の横からです
MEDICAL
CONTENTS
BLOG
MOVIE
GUIDE
RECRUIT





