
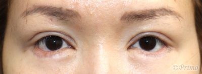
手術前の目元です。
切開法による二重形成、たれ目形成術を受けていらっしゃいましたが
二重が広いので狭くしたいとのご希望でした。
外側は少しだけで、内側から中央の二重を主に狭くしたいとのことでした。
当院にて二重修正を行いました。

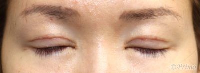
二重修正術術後2か月の経過写真です。
make upなしです。
二重幅は狭くなり、より自然なラインの二重が形成されています。

術前の目を閉じたところです

手術後2か月の目を閉じたところです。

手術前の目元です。
切開法による二重形成、たれ目形成術を受けていらっしゃいましたが
二重が広いので狭くしたいとのご希望でした。
外側は少しだけで、内側から中央の二重を主に狭くしたいとのことでした。
当院にて二重修正を行いました。

二重修正術術後2か月の経過写真です。
make upなしです。
二重幅は狭くなり、より自然なラインの二重が形成されています。

術前の目を閉じたところです

手術後2か月の目を閉じたところです。
MEDICAL
CONTENTS
BLOG
MOVIE
GUIDE
RECRUIT





