
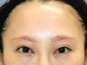
上眼瞼リフト(眉毛下切開)手術後2ヶ月の経過写真です。
make upなしです。
術後はまぶたの皮膚の被さりが減って二重が広くなりました。
眉毛の形も自然に下りて凛々しい印象です。
傷はもともとあったタトゥーの下にあり目立たないようです。

上眼瞼リフト(眉毛下切開)手術後2ヶ月の経過写真です。
make upなしです。
術後はまぶたの皮膚の被さりが減って二重が広くなりました。
眉毛の形も自然に下りて凛々しい印象です。
傷はもともとあったタトゥーの下にあり目立たないようです。
MEDICAL
CONTENTS
BLOG
MOVIE
GUIDE
RECRUIT





