
手術前の目元です。
下まぶたの外側を下げて自然に目を大きくしたいとのご希望に対して
下眼瞼拡大術(たれ目形成)、目尻切開、逆さまつ毛手術を施行しました。
下まぶたには涙袋ヒアルロン酸の分解注射による内出血がでています

下眼瞼拡大術(たれ目形成)、目尻切開、逆さまつ毛手術
術後1週間の経過写真です。
make upなしです。
下眼瞼拡大術、目尻切開術の効果で目が下方向、外側方向へと大きくなりました。

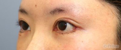
手術前の斜めからです。

手術後1週間の斜めからです。

手術前の横からです。

手術後1週間の横からです。
逆さまつ毛も認めません。




















